Author
Correspondence author
Maize Genomics and Genetics, 2025, Vol. 16, No. 6 doi: 10.5376/mgg.2025.16.0030
Received: 30 Oct., 2025 Accepted: 16 Nov., 2025 Published: 31 Dec., 2025
Zhu S.J., and Wang W., 2025, Dynamic DNA methylation landscapes in maize roots under salt stress, Maize Genomics and Genetics, 16(6): 325-333 (doi: 10.5376/mgg.2025.16.0030)
Salt stress is one of the main abiotic factors limiting the yield of maize (Zea mays L.), especially having a significant impact on root growth, water absorption and ion homeostasis. Recent studies have shown that epigenetic regulatory mechanisms, especially DNA methylation, play a significant role in plants’ response to adverse stress. However, there is still a lack of systematic research on the dynamic changes of the whole-genome DNA methylation map of maize roots under salt stress conditions. This study reviews the physiological and molecular response characteristics of maize root systems under salt stress, as well as the biological functions of DNA methylation in plant stress responses. It introduces the types of methylation and their detection techniques, analyzes in detail the dynamic change characteristics and functional enrichment pathways of methylation profiles under salt stress, and compares the methylation differences between typical salt-tolerant and sensitive maize varieties. It reveals the possible mechanism of epigenetic regulation in the formation of salt tolerance. This study explored the dynamic regulatory mechanism of DNA methylation in maize roots under salt stress, providing a new perspective for a deeper understanding of plant epigenetic responses and also offering a theoretical basis and data support for the development of salt-tolerant maize varieties.
1 Introduction
Once the yield of corn is restricted, it is often related to abiotic stress, and salt stress, especially in arid or semi-arid regions, is one of the most influential factors. High-salt soil can disrupt the normal absorption of water and nutrients, disrupt the ionic balance, causing corn plants to grow shorter, have smaller leaves, and even significantly reduce the biomass above and below ground. Eventually, the yield also "shrinks" (Maimaiti et al., 2025). The most obvious impact is still on the early growth stage of corn. During this period, it is particularly sensitive to salt, the roots are prone to deformation, photosynthesis is also likely to have problems, and the overall growth of the plant is not good. Whether the plant can withstand these pressures largely depends on whether it can maintain its own metabolism and physiological balance. Therefore, finding ways to enhance the salt tolerance of corn is clearly an urgent and valuable task (Farooq et al., 2015).
Some regulatory methods, though seemingly insignificant, can be very effective in adverse circumstances. DNA methylation is one of them. In fact, it is not a recent focus. As a typical epigenetic modification, it has long been proven to stabilize the genome and regulate gene expression. Under salt stress, its "actions" are particularly frequent, especially in key pathways such as ion transport, antioxidation, and hormone signaling. Changes in methylation are often linked to the activation or deactivation of these pathways (Zhang et al., 2024). Genes closely related to root systems, such as ZmPP2C and ZmEXPB2, have been observed to show significant methylation changes in high-salt environments - some regions are demethylated while others become heavier. These changes basically directly affect their expression levels and thus drive the entire chain of stress response. In addition to these, there is another mechanism worth mentioning, which is RNA-mediated DNA methylation (RdDM). It is not new in the regulatory process, but regulatory factors like ZmKTF1 have been confirmed to be involved, which indeed makes people look at its position in maize salt tolerance in a new light (Wang et al., 2024). Of course, all of this is not that simple. The regulatory pattern is not "one-size-fits-all". Different genotypes and tissue locations may lead to completely different DNA methylation behaviors. This difference actually reflects the complexity of epigenetic regulation and once again indicates that for plants to truly adapt to salt environments, it relies on a very subtle regulatory system (Sun, 2018; 2022).
This study aims to clarify the dynamics of DNA methylation in maize root systems under salt stress and combines the latest advancements in high-resolution methylomics and functional genomics, including: (1) characterizing the changes in genome-wide methylation at different salt concentrations; (2) Identify the key methylation regulatory genes and pathways involved in root adaptation; (3) Evaluate the potential of epigenetic markers in breeding salt-tolerant corn varieties. This research will lay the foundation for developing innovative strategies to enhance the stress resistance and productivity of corn under salt stress.
2 Physiological and Molecular Responses of Maize Roots to Salt Stress
2.1 Root architecture and osmotic adjustment mechanisms
When exposed to salt stress, the changes in some corn roots are quite obvious, especially for those varieties that are not very salt-tolerant to begin with - shortened root length and reduced lateral roots. Such phenomena can often be observed (Li et al., 2021). However, not all varieties will never recover. For instance, some salt-tolerant types may instead show structural "self-rescue" reactions such as thickened roots, enlarged cortical cells, and even the growth of ventilation tissues (Hu et al., 2022). Such adjustments seem to be made to reduce the burden and maintain the vitality of the roots. Sometimes, even if the development of the main root is restricted, the overall biomass of the root system can still be maintained roughly. When it comes to regulating water, some strains accumulate a considerable amount of proline and betaine at the root tip. These small molecule solutes help maintain turgor pressure and allow cells to "hold on" (Hajlaoui et al., 2010). But ultimately, it's not just water regulation that sustains the root system; ion balance is even more crucial. Some corn relies on a mechanism of "salt excretion and potassium retention" - Na+ can be rapidly excreted while K+ remains relatively stable. This usually involves the participation of transport proteins such as ZmHKT1, ZmHAK4, and ZmNHX1 (Zhang et al., 2021). It is precisely these details of regulation that have widened the gap between varieties in terms of whether they can survive in saline-alkali land.
2.2 Antioxidant systems and signal transduction under salt stress
When it comes to salt stress, reactive oxygen species (ROS) is an unavoidable issue. When there is too much of it, root cells are prone to damage. However, the reactions of different corns to it vary greatly. Some varieties have strong antioxidant systems and can "withstand" it. Some are not so good (Ahmad et al., 2020). The activity levels of antioxidant enzymes such as SOD, CAT, POD and GST have become important references for measuring salt tolerance. Generally speaking, for those salt-tolerant genotypes, the activity of these enzymes is usually high, and the damage to the cell membrane is also less - the content of malondialdehyde is much lower. If the problem of ROS is not solved merely by clearing it, the entire set of signal mechanisms that follow must also keep up. Pathways such as ABA, auxin, and MAPK are "activated" at the very beginning of stress, responsible for regulating downstream gene expression, coordinating water, restoring metabolism, and protecting cells (He et al., 2024). These mechanisms are not for temporary coping but more like a contingency plan left by plants over a long period of time. Whether the stress can be transformed into an opportunity for survival depends crucially on the stability of this link.
2.3 Gene expression regulation and preliminary epigenetic responses
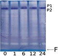
When salt stress occurs, a large number of genes in the root system will always undergo expression changes. Some studies have listed tens of thousands of DEGs, mainly focusing on pathways such as ion transport, hormone response, and ROS clearance (Maimaiti et al., 2025). However, not all responses rely on genes "fighting alone". In fact, there is a complex regulatory network behind it. The participants include transcription factors such as WRKY, bZIP, MYB, bHLH, as well as non-coding components such as miRNA and lncRNA (Liu et al., 2022). In the early stage of stress, the response is mostly rapid regulation, while in the later stage, the goal of the genetic network leans towards metabolic balance and growth recovery. In addition, there is preliminary evidence suggesting that these expression changes are not entirely "transient memory". Epigenetic mechanisms such as DNA methylation and histone modification are likely to have played a stabilizing regulatory role in them, providing a longer-term "genetic account" for stress adaptation (Figure 1) (Eprintsev et al., 2024).
![]() Figure 1 Effect of salt stress on the isoenzyme composition of GDH in maize leaves. PAGE electropherogram of GDH from maize leaves under salt stress: 0, 1, 6, 12, 24-incubation time in the NaCl solution (hours); P1, P2-protein bands representing native GDH protein molecules (isoenzymes) stained by the tetrazolium method; and F-dye front (Adopted from Eprintsev et al., 2024) |
3 Types, Functions, and Detection Methods of Plant DNA Methylation
3.1 Distribution characteristics and biological functions of CG, CHG, and CHH methylation
In plants, DNA methylation is not immutable. It occurs in three sequence environments: CG, CHG and CHH (H stands for A, T or C). Although CG methylation is the most common and widely distributed, including the genome and transposition factor (TE), it does not mean that other types are unimportant. This type is mainly maintained by MET1. In contrast, CHG methylation is more prevalent around centromeres and in heterochromatin, maintained by enzymes such as CMT3, and it plays a more prominent role in silencing TE. The methylation of CHH is more volatile and is mostly established by the RdDM pathway and CMT2. It is particularly common in monocotyledonous plants such as corn, and is also frequently distributed at the edges of gene-dense chromatin regions. Some people believe that in certain regulatory scenarios, the role of CHG is even stronger than that of CG (Domb et al., 2020). The methylation levels and distributions vary significantly among different plant species, tissues, and even different developmental stages of the same plant, which reflects the diversity of its regulatory functions (Bartels et al., 2018).
3.2 Overview of plant DNA methylation techniques (e.g., WGBS, MeDIP-seq)
There is no single method that can solve all methylation problems in one go. Which technology to use really depends on what kind of scientific research problem you plan to solve. WGBS is currently the most "comprehensive" solution, capable of being precise to a single base, with data as detailed as it can be. It is highly suitable for species with large and complex genomes like corn (Li et al., 2018; Garcia-Garcia et al., 2024). However, this method is not easy to master. Not only is the cost high, but the amount of data processing in the later stage is also quite large. Research groups with insufficient budgets often choose MeDIP-seq - although its resolution is slightly lower, the antibody enrichment strategy makes it quite efficient in screening (Beck et al., 2021). Small but precise methods like RRBS, which focus on regions rich in CpG, can provide details and are suitable for teams that want to conduct in-depth research on specific sites. In recent years, there has been a new technology called EM-seq, which bypasses the traditional bisulfite treatment process and is particularly suitable for the detection of non-CG methylation, with good accuracy and stability. In conclusion, different problems may require completely different methods. There is no such thing as "who is the best". More realistically, it depends on your goals and conditions to determine your choice.
3.3 Coupling between genomic methylation patterns and transcriptional regulation
How exactly are gene expression and DNA methylation related? There is actually no uniform answer to this question. Methylation in different regions and of different types also involves different ways. For instance, if CG methylation occurs in the genome, it is often associated with a "moderate" expression level. However, if it is concentrated on the promoter, especially at the CG or CHG sites, it is somewhat like "closing the door", which can easily inhibit the initiation of transcription. However, not every promoter methylation silences genes, and this cannot be generalized. On the contrary, non-CG methylations, such as CHG and CHH, are more like "sealing devices" in the genome, specifically targeting transposons and repeating elements to prevent them from moving around (Niederhuth and Schmitz, 2017). Once there is a problem with such methylation, such as dropping or being removed, those regions that should be silent may suddenly "speak out", thereby disrupting the normal expression rhythm of genes (Domb et al., 2020). What's more interesting is that methylation is not static; it fluctuates with the environment. For instance, under salt stress, the methylation levels of some stress-responsive genes will decline, thus being "unbound" and their expression levels will increase. This can help plants respond to external stress in a timely manner (Bartels et al., 2018).
4 Dynamic Methylation Patterns in Maize Roots Under Salt Stress
4.1 Salt stress treatment conditions and time-point design
When studying the methylation response of corn roots, a common practice is to choose hydroponic or liquid culture systems as the experimental basis. Set the NaCl concentration between 100 and 200 mM. This range can simulate moderate to severe stress without causing the plant to die quickly. In some experiments, seedlings were treated with a 150 mM NaCl concentration and samples were taken every few hours (such as 1, 3, 6, 12, and 24 hours) in order not to miss the fluctuations in the early stage of methylation reaction (Fedorin et al., 2022). However, some people chose comparative treatment, such as two concentrations of 100 and 200 mM, and observed the differences in high and low salt environments. How to set the specific time point is often related to the goal: if you want to see a quick response, take samples intensively; if you want to see a long-term trend, extend the timeline.
4.2 Dynamic changes in methylation levels across different sequence contexts
Not all methylations are affected by salt stress, but some patterns are quite obvious. For instance, in the three sequence environments of CG, CHG, and CHH, the positions of CHG and CHH are more likely to change under salt stress (Sun et al., 2018). Interestingly, after a short period of salt treatment, the overall m5C content decreased rapidly (He et al., 2024), suggesting that demethylation might be an initial reaction. In the promoter regions of some key genes (such as ZmEXPB2 and ZmXET1), especially in salt-sensitive corn, methylation levels are rapidly downregulated, while for those genotypes that are inherently more tolerant to salt, the methylation status appears more stable. Overall, DNA methylation is not a one-size-fits-all approach. Instead, it follows its own reaction logic depending on the genotype and region.
4.3 Identification of differentially methylated regions (DMRs) and association with target genes
To identify which regions' methylation changes are most worthy of attention, high-throughput sequencing remains the most commonly used approach at present. In some studies, more than 4,400 differentially methylated regions (DMR) could be detected in salt-treated samples, and hypomethylation was more common than hypermethylation, especially under high-salt conditions (Sun et al., 2018). Most of these DMR are distributed in promoters, introns and even the flanking regions of genes, especially in genes related to cell metabolism and signal transduction (Tan, 2010). For instance, a negative regulatory gene like zmPP2C, which is involved in stress regulation, will have its expression suppressed once its intron is highly methylated. However, for genes like zmGST, their expression actually increases after demethylation. Both positive and negative examples demonstrate that there is indeed a clear correspondence between changes in methylation status and gene expression.
5 Identification of Key Genes and Pathways Regulated by DNA Methylation
5.1 Methylation features of transcription factors and functional genes responsive to salt stress
Not all changes in gene expression under salt stress can be attributed to the regulation of transcription factors. Sometimes, the transformation of DNA methylation status seems more like the driving force behind the scenes. Take ZmKTF1 as an example. It plays a core role in the RNA-mediated DNA methylation (RdDM) pathway. Once a mutation occurs, the CHH methylation level will decline, and then it will affect the genes related to oxidoreductase activity throughout the body, thereby altering the accumulation of ROS and the salt tolerance of plants. In addition, the expressions of the "familiar faces" of transcription factor families such as WRKY, MYB, bZIP, and bHLH can also be affected by the methylation status (Liu et al., 2022; Zhang and Xu, 2024). For instance, research has found that under salt stress, the methylation of the first intron of the zmPP2C gene is enhanced, thereby suppressing the expression of this negative regulatory factor. However, genes like zmGST are upregulated in expression after demethylation, which has a positive effect on stress responses. These cases demonstrate that in a salt environment, transcriptional regulation also depends on the "face" of methylation, and the patterns vary greatly among different genes and in different environments.
5.2 Hormonal pathways and ROS signaling networks affected by methylation
Under salt stress conditions, the signaling pathways of hormones and ROS are almost simultaneously activated, and epigenetic factors are often involved behind them. The expression differences of multiple key genes involved in hormone pathways such as ABA, auxin, and jasmonic acid are sometimes not dominated by transcription factors but caused by fluctuations in DNA methylation levels (Zhang et al., 2021; Ying et al., 2025). For example, ZmKTF1 is considered to be able to indirectly control ROS levels by regulating the expression of antioxidant genes, thereby affecting salt tolerance (Wang et al., 2024). The methylation changes of the promoters of some peroxidase and superoxide dismutase genes are also believed to be directly related to the efficiency of ROS clearance. Moreover, this regulation often does not occur alone - sequences modified by differential methylation can also frequently be found in ABA and auxin response genes, indicating that the linkage between hormones and ROS has already been "predefined" at the epigenetic level. This coupling mechanism might be a key for corn to maintain cellular homeostasis in a high-salt environment.
5.3 Functional enrichment analysis of upregulated/downregulated genes (GO and KEGG)
Sometimes, if one wants to know exactly which genes were activated under a certain stress and what these genes did, directly looking at the enrichment results of GO and KEGG can often provide many clues. Among the differentially expressed genes, whether activated or inhibited, most are concentrated in functional blocks such as signaling pathways, secondary metabolism, MAPK, hormone responses, and phenylpropane metabolism. These modules do not exist in isolation; many of them work together under coercive circumstances. As for GO, terms such as "abiotic stimulus response", "REDOX enzyme activity", and "signal transduction" appear frequently, which also indicates from another perspective that DNA methylation regulation is indeed linked to stress adaptation (Maimaiti et al., 2025). However, not all pathways are so "directly related". Conventional metabolic pathways such as photosynthesis, carbohydrate metabolism, and amino acid synthesis, although they sound more like what is needed during the growth stage, were also listed by KEGG analysis (He et al., 2024). It might be the stable operation of these "infrastructures" that supports the overall regulatory capacity of plants in the face of salt stress. So, these regulatory pathways may seem complex, but in fact, under the regulation of DNA methylation, they have pieced together an interdependent system framework.
6 Case Study: Comparative Methylome Analysis of Salt-Tolerant and Salt-Sensitive Maize Varieties
6.1 Selection of varieties and verification of physiological response differences
Before conducting methylation research, the selection of comparison materials actually determines half of the direction of the research. The AS5 and SPL02 strains are often regarded as representatives of salt tolerance because under multiple experimental conditions, they all demonstrate stronger salt resistance than NX420 or Mo17 - not only are there significant differences in biomass, but also obvious advantages in Na+ accumulation and water retention capacity (Zhu et al., 2023). However, not all salt-tolerant varieties perform stably well at different salt concentrations. Under the treatment of 150-180 mM NaCl, those materials that perform "outstandingly" can often still maintain relatively normal growth, while the leaves of sensitive materials show signs of chlorosis, wilting or even withering very early. If the antioxidant index, MDA content and enzyme activity parameters are superimposed, these physiological differences become even clearer (Figure 2) (Ji et al., 2025).
![]() Figure 2 Salt treatment phenotypic characterization of the ST and SS maize cultivars (Adopted from Ji et al., 2025) Image caption: (A) Phenotypes of the ST and SS seedings to salt stress. Plants were grown to the four-leaf stage in soil and then irrigated with saline water containing 300 mM NaCl for 0, 3, and 7 days. The scale bars are six cm. (B) DAB and NBT staining of the third leaves of ST and SS seedings treated with 300 mM NaCl for 0, 3 and 7 days. The scale bars are one cm. (C) The RWC, REL, H2O2 and MDA content, SOD and POD activities of ST and SS seedings treated with 300 mM NaCl for 0, 3 and 7. Data means ± SDs (n = 3). The symbols * and ** indicate significant differences between ST and SS seedings at P < 0.05 and P < 0.01, respectively (Adopted from Ji et al., 2025) |
6.2 Methylation pattern variations and identification of salt tolerance-related loci
DNA methylation is no longer a "new concept" in salt tolerance research, but its performance among different strains does have many aspects worth pondering. Especially at the CHH and CHG sites, the methylation reaction of salt-tolerant materials is more "flexible", while the changes of some sensitive strains seem rigid and unable to keep up with the environmental rhythm. Some key genes, such as ZmKTF1, have a slight "problem" - a mutation, the methylation level of CHH drops immediately, and as a result, the salt sensitivity also increases (Wang et al., 2024). So, some loci are not just for show; they are indeed the main forces involved in regulation. In the broader population analysis, researchers have identified more than one hundred suspected candidate regions by integrating isolated population and transcriptome data, among which there are no shortage of genes closely related to membrane function, ion channels or ROS clearance mechanisms (Maimaiti et al., 2025).
6.3 Case study on methylation-expression correlation of candidate genes
Just looking at sequencing data often fails to reveal the essence - differences do not necessarily mean they are effective. What truly explains the issue lies in observing the "response actions" of genes under stress. Take Zm00001d053925 as an example. This gene is strongly induced when exposed to salt stress in the salt-tolerant strain AS5. However, when it is replaced with NX420, its expression is very calm and there is almost no response (Zhu et al., 2023). If you take another look at its methylation data, you will find that the hypomethylated region at the root is precisely located upstream of it. This relationship of "less methylation and higher expression" is no coincidence. Similar are some oxidoreductase genes regulated by ZmKTF1, which can help regulate ROS levels and relieve cellular stress. Behind these functions, there are also significant methylation differences. Not all genes cooperate in this way, and not every case can be summarized into a pattern. However, these phenomena do reflect a notable point: Sometimes, whether a gene can "speak out" in adverse circumstances may be driven by epigenetic modifications.
7 Application Prospects of DNA Methylation Research in Salt-Tolerance Breeding of Maize
DNA methylation has been mentioned by many people in recent years, especially in the field of salt-tolerant breeding of corn, where discussions have been held on whether it is a new type of selection tool worth investing in. However, for it to be truly useful, it not only needs to be reliable on its own but also depends on whether it can be well integrated with conventional methods such as GWAS and QTL mapping. Candidate genes related to salt tolerance, such as ZmCLCg and ZmPMP3, have long been identified through localization and have been used as targets for MAS in many studies. If methylation data can be linked with these SNP or QTL information, the epigenetic levels that traditional genetic markers cannot capture may be "filled", especially in complex traits like salt tolerance that are influenced by both the environment and genes.
Of course, not all methylation changes are guaranteed by "genetic transmission", and not every variety will show significant methylation differences under environmental stress. This point must be recognized. However, this does not prevent us from looking for those relatively "stable" methylation patterns at some key regulatory sites. Once found, it will be a breakthrough for the rapid screening of salt-tolerant materials. In fact, current research has identified many regions and genes that may be related to salt tolerance through population segregation analysis and methylomics sequencing. Factors like ZmKTF1 have also been found to regulate the stress response through the RNA-mediated DNA methylation pathway, which further enhances the role of epigenetics in salt-tolerant breeding. If we take it a step further and introduce tools like CRISPR/dCas9 to perform targeted "operations" on certain methylation sites, future breeding methods may be more flexible and precise than currently imagined.
Ultimately, to truly make good use of epigenetic information, relying solely on a single omics is far from sufficient. Genomic, transcriptomic, methylomic and even metabolomic data must be interconnected in order to piece together the complete regulatory network behind salt tolerance. By means of this multi-omics integration approach, we can more confidently screen out key markers that have both genetic basis and epigenetic features, and further optimize the combination of alleles. In the future, breeding platforms are likely to combine high-throughput methylomics sequencing with SNP genotyping and transcriptome expression, selecting the most stable and adaptable materials from the very beginning to accelerate the breeding of corn varieties that can truly resist salt and withstand future climate change.
Acknowledgments
We are grateful to Dr. W. Wu for his assistance with the serious reading and helpful discussions during the course of this work.
Conflict of Interest Disclosure
The authors affirm that this research was conducted without any commercial or financial relationships that could be construed as a potential conflict of interest.
Ahmad S., Cui W., Kamran M., Ahmad I., Meng X., Wu X., Su W., Javed T., El‐Serehy H., Jia Z., and Han Q., 2020, Exogenous application of melatonin induces tolerance to salt stress by improving the photosynthetic efficiency and antioxidant defense system of maize seedling, Journal of Plant Growth Regulation, 40: 1270-1283.
https://doi.org/10.1007/s00344-020-10187-0
Bartels A., Han Q., Nair P., Stacey L., Gaynier H., Mosley M., Huang Q., Pearson J., Hsieh T., An Y., and Xiao W., 2018, Dynamic DNA methylation in plant growth and development, International Journal of Molecular Sciences, 19(7): 2144.
https://doi.org/10.3390/ijms19072144
Beck D., Maamar M., and Skinner M., 2021, Genome-wide CpG density and DNA methylation analysis method (MeDIP, RRBS, and WGBS) comparisons, Epigenetics, 17: 518-530.
https://doi.org/10.1080/15592294.2021.1924970
Domb K., Katz A., Harris K., Yaari R., Kaisler E., Nguyen V., Hong U., Griess O., Heskiau K., Ohad N., and Zemach A., 2020, DNA methylation mutants in Physcomitrella patens elucidate individual roles of CG and non-CG methylation in genome regulation, Proceedings of the National Academy of Sciences, 117: 33700-33710.
https://doi.org/10.1073/pnas.2011361117
Eprintsev A., Anokhina G., Selivanova P., Moskvina P., and Igamberdiev A., 2024, Biochemical and epigenetic regulation of glutamate metabolism in maize (Zea mays L.) leaves under salt stress, Plants, 13(18): 2651.
https://doi.org/10.3390/plants13182651
Farooq M., Hussain M., Wakeel A., and Siddique K., 2015, Salt stress in maize: effects, resistance mechanisms, and management. A review, Agronomy for Sustainable Development, 35: 461-481.
https://doi.org/10.1007/s13593-015-0287-0
Fedorin D., Eprintsev A., Caro O., and Igamberdiev A., 2022, Effect of salt stress on the activity, expression, and promoter methylation of succinate dehydrogenase and succinic semialdehyde dehydrogenase in maize (Zea mays L.) leaves, Plants, 12(1): 68.
https://doi.org/10.3390/plants12010068
García-García I., Méndez-Cea B., Horreo J., Linares J., and Gallego F., 2024, DNA methylation analysis in plant gigagenomes: comparing two bisulfite sequencing techniques in Abies alba trees affected by dieback, Silvae Genetica, 73: 201-205.
https://doi.org/10.2478/sg-2024-0020
Hajlaoui H., Ayeb N., Garrec J., and Denden M., 2010, Differential effects of salt stress on osmotic adjustment and solutes allocation on the basis of root and leaf tissue senescence of two silage maize (Zea mays L.) varieties, Industrial Crops and Products, 31: 122-130.
https://doi.org/10.1016/j.indcrop.2009.09.007
He S., Wang H., Lv M., Li S., Song J., Wang R., Jiang S., Jiang L., Zhang S., and Li X., 2024, Nanopore direct rna sequencing reveals the short-term salt stress response in maize roots, Plants, 13(3): 405.
https://doi.org/10.3390/plants13030405
Hu D., Li R., Dong S., Zhang J., Zhao B., Ren B., Ren H., Yao H., Wang Z., and Liu P., 2022, Maize (Zea mays L.) responses to salt stress in terms of root anatomy, respiration and antioxidative enzyme activity, BMC Plant Biology, 22: 602.
https://doi.org/10.1186/s12870-022-03972-4
Ji M., Xu S., Ma Z., Xiao C., Xu J., Zhu Y., Cai R., and Bo C., 2025, Maize leaves salt-responsive genes revealed by comparative transcriptome of salt-tolerant and salt-sensitive cultivars during the seedling stage, PeerJ, 13: e19268.
https://doi.org/10.7717/peerj.19268
Jiang Y., Li M., Qian Y., Rong H., Xie T., Wang S., Zhao H., Yang L., Wang Q., and Cao Y., 2025, Analysis of the transcriptome provides insights into the photosynthate of maize response to salt stress by 5-aminolevulinic acid, International Journal of Molecular Sciences, 26(2): 786.
https://doi.org/10.3390/ijms26020786
Li P., Yang X., Wang H., Pan T., Wang Y., Xu Y., Xu C., and Yang Z., 2021, Genetic control of root plasticity in response to salt stress in maize, Theoretical and Applied Genetics, 134: 1475-1492.
https://doi.org/10.1007/s00122-021-03784-4
Li Q., Hermanson P., and Springer N., 2018, Detection of DNA methylation by whole-genome bisulfite sequencing, Methods in Molecular Biology, 1676: 185-196.
https://doi.org/10.1007/978-1-4939-7315-6_11
Liu P., Zhang Y., Zou C., Yang C., Pan G., Ma L., and Shen Y., 2022, Integrated analysis of long non-coding RNAs and mRNAs reveals the regulatory network of maize seedling root responding to salt stress, BMC Genomics, 23: 50.
https://doi.org/10.1186/s12864-021-08286-7
Maimaiti A., Gu W., Yu D., Guan Y., Qu J., Qin T., Wang H., Ren J., Zheng H., and Wu P., 2025, Dynamic molecular regulation of salt stress responses in maize (Zea mays L.) seedlings, Frontiers in Plant Science, 16: 1535943.
https://doi.org/10.3389/fpls.2025.1535943
Niederhuth C., and Schmitz R., 2017, Putting DNA methylation in context: from genomes to gene expression in plants, Biochimica et Biophysica Acta, Gene Regulatory Mechanisms, 1860(1): 149-156.
https://doi.org/10.1016/j.bbagrm.2016.08.009
Sun L., Miao X., Cui J., Deng J., Wang X., Wang Y., Zhang Y., Gao S., and Yang K., 2018, Genome-wide high-resolution mapping of DNA methylation identifies epigenetic variation across different salt stress in maize (Zea mays L.), Euphytica, 214: 1-15.
https://doi.org/10.1007/s10681-017-2076-0
Sun M., Yang Z., Liu L., and Duan L., 2022, DNA methylation in plant responses and adaption to abiotic stresses, International Journal of Molecular Sciences, 23(13): 6910.
https://doi.org/10.3390/ijms23136910
Tan M., 2010, Analysis of DNA methylation of maize in response to osmotic and salt stress based on methylation-sensitive amplified polymorphism, Plant physiology and biochemistry, 48(1): 21-26.
https://doi.org/10.1016/j.plaphy.2009.10.005
Wang J., Zheng L., Peng Y., Lu Z., Zheng M., Wang Z., Liu J., He Y., and Luo J., 2024, ZmKTF1 promotes salt tolerance by mediating RNA-directed DNA methylation in maize, The New Phytologist, 245(1): 200-214.
https://doi.org/10.1111/nph.20225
Ying Q.B., Chen Q., Lei K.Z., and Liu H.Z., 2025, Case study: breeding maize varieties with high protein content, Molecular Plant Breeding, 16(1): 93-104.
https://doi.org/10.5376/mpb.2025.16.0010
Zhang X., and Xu M.L., 2024, Adaptation of maize to various climatic conditions: genetic underpinnings, Bioscience Evidence, 14(3): 122-130.
https://doi.org/10.5376/be.2024.14.0014
Zhang D., Zhang D., Zhang Y., Li G., Sun D., Zhou B., and Li J., 2024, Insights into the epigenetic basis of plant salt tolerance, International Journal of Molecular Sciences, 25(21): 11698.
https://doi.org/10.3390/ijms252111698
Zhang X., Liu P., Qing C., Yang C., Shen Y., and Ma L., 2021, Comparative transcriptome analyses of maize seedling root responses to salt stress, PeerJ, 9: e10765.
https://doi.org/10.7717/peerj.10765
Zhu Y., Ren Y., Liu J., Liang W., Zhang Y., Shen F., Ling J., and Zhang C., 2023, New genes identified as modulating salt tolerance in maize seedlings using the combination of transcriptome analysis and BSA, Plants, 12(6): 1331.
https://doi.org/10.3390/plants12061331

. PDF(584KB)
. FPDF(win)
. FPDF(mac)
. HTML
. Online fPDF
Associated material
. Readers' comments
Other articles by authors
. Wei Wang
. Minghua Li
Related articles
. Maize ( Zea mays )
. Salt stress
. DNA methylation
. Epigenetic regulation
. Whole-genome methylation sequencing
Tools
. Email to a friend
. Post a comment
.png)
.png)